Electrocardiograma
El electrocardiograma es un estudio no invasivo que registra la actividad eléctrica del corazón en un momento.
Prueba de esfuerzo
La prueba de esfuerzo en banda, es un estudio que permite evaluar la respuesta del corazón durante el ejercicio y permite diagnosticar enfermedad de las arterias coronarias.
Holter de 24 horas
Es un monitoreo de la actividad eléctrica del corazón durante un día completo, que permite identificar la presencia de arritmias cardíacas.
MAPA (Monitoreo Ambulatorio de la Presión Arterial)
El MAPA es un estudio no invasivo que registra durante 24 horas los niveles de la prensión arterial del paciente cuando hace sus actividades cotidianas.
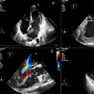
Ecocardiograma
El ecocardiograma es un estudio que utiliza el ultrasonido para crear imágenes del corazón, que permiten conocer su estructura y funcionamiento.
Ecocardiograma de estrés
Es un estudio de ecocardiograma en el que se aumenta los requerimientos del corazón mediante ejercicio o fármacos y permite identificar enfermedad de las arterias coronarias.
Ecocardiograma transesofágico
Procedimiento que utiliza el ultrasonido para producir imágenes del corazón en tiempo real en múltiples posiciones desde el esófago.
Angiografía coronaria
La angiografía coronaria es un estudio que utiliza rayos X para obtener imágenes de las arterias coronarias y permite identificar la obstrucción por acúmulo de colesterol.
Mesa inclinada
Mediante la prueba de la mesa inclinada se puede identificar la causa de desmayos inexplicables (síncope).
Ultrasonido Doppler renal
Es un estudio que utiliza el ultrasonido para crear imágenes del riñón, que permiten conocer su estructura y funcionamiento, así como permite el diagnóstico de alteraciones de las arterias renales.
Ultrasonido Doppler carotídeo
El ultrasonido carotídeo, mediante ondas de ultrasonido genera imágenes de los vasos encargados de la irrigación cerebral y permite la detección de sitios de obstrucción o alteraciones del flujo.
Ultrasonido vascular periférico
Es un estudio no invasivo, que utiliza ondas sonoras para evaluar el sistema circulatorio del cuerpo, y permite identificar alteraciones del flujo en venas y arterias, así como sitios de obstrucción.











